Co niszczy zdrowie psychiczne? Poznaj przyczyny i odzyskaj spokój
Poznaj czynniki, które niszczą zdrowie psychiczne Polaków: stres, samotność, wypalenie. Dowiedz się, jak rozpoznać sygnały i odzyskać równowagę.
Poznaj czynniki, które niszczą zdrowie psychiczne Polaków: stres, samotność, wypalenie. Dowiedz się, jak rozpoznać sygnały i odzyskać równowagę.
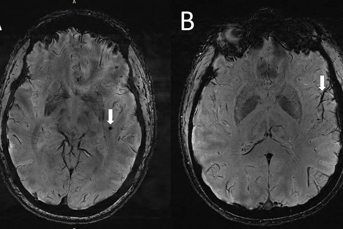
Dowiedz się, czy rezonans magnetyczny głowy wykryje choroby psychiczne. Rozwiewamy mity o roli MRI w diagnozie nerwic, ADHD i jego znaczeniu w psychiatrii. Sprawdź!
Poznaj 13 rzeczy, których nie robią silni psychicznie. Wzmocnij odporność mentalną, przestań sabotować swój potencjał i zacznij działać już dziś!
Niedobór witaminy D a objawy psychiczne: depresja, lęk, zmęczenie? Dowiedz się, jak rozpoznać problem, zbadać poziom i skutecznie suplementować. Sprawdź!
Martwi Cię zły stan psychiczny? Poznaj kluczowe objawy emocjonalne, fizyczne i behawioralne. Sprawdź, kiedy to sygnał do szukania profesjonalnej pomocy.
ADHD to zaburzenie neurorozwojowe, nie choroba psychiczna. Obal mity, poznaj objawy, przyczyny i dowiedz się, jak wygląda diagnoza i wsparcie w Polsce.
Tężyczka utajona udaje nerwicę i depresję. Poznaj jej psychiczne maski (lęk, mgła mózgowa), diagnostykę i leczenie. Sprawdź, czy to dotyczy Ciebie!
Jak przekonać bliskiego do leczenia psychicznego? Odkryj skuteczne metody komunikacji, wsparcie i aspekty prawne. Praktyczny przewodnik dla rodzin.
Dowiedz się, jak udowodnić chorobę psychiczną w sądzie. Poznaj rolę biegłego, zbierz kluczową dokumentację i uniknij błędów. Sprawdź nasz praktyczny poradnik!
Obal mity o agresji w chorobach psychicznych. Dowiedz się, kiedy jest objawem, jak bezpiecznie reagować w kryzysie i gdzie szukać pomocy. Zrozum i wspieraj.
Doświadczasz znęcania psychicznego? Znajdź natychmiastową pomoc! Poznaj kontakty do Niebieskiej Linii, OIK, policji i organizacji. Zrób pierwszy krok.